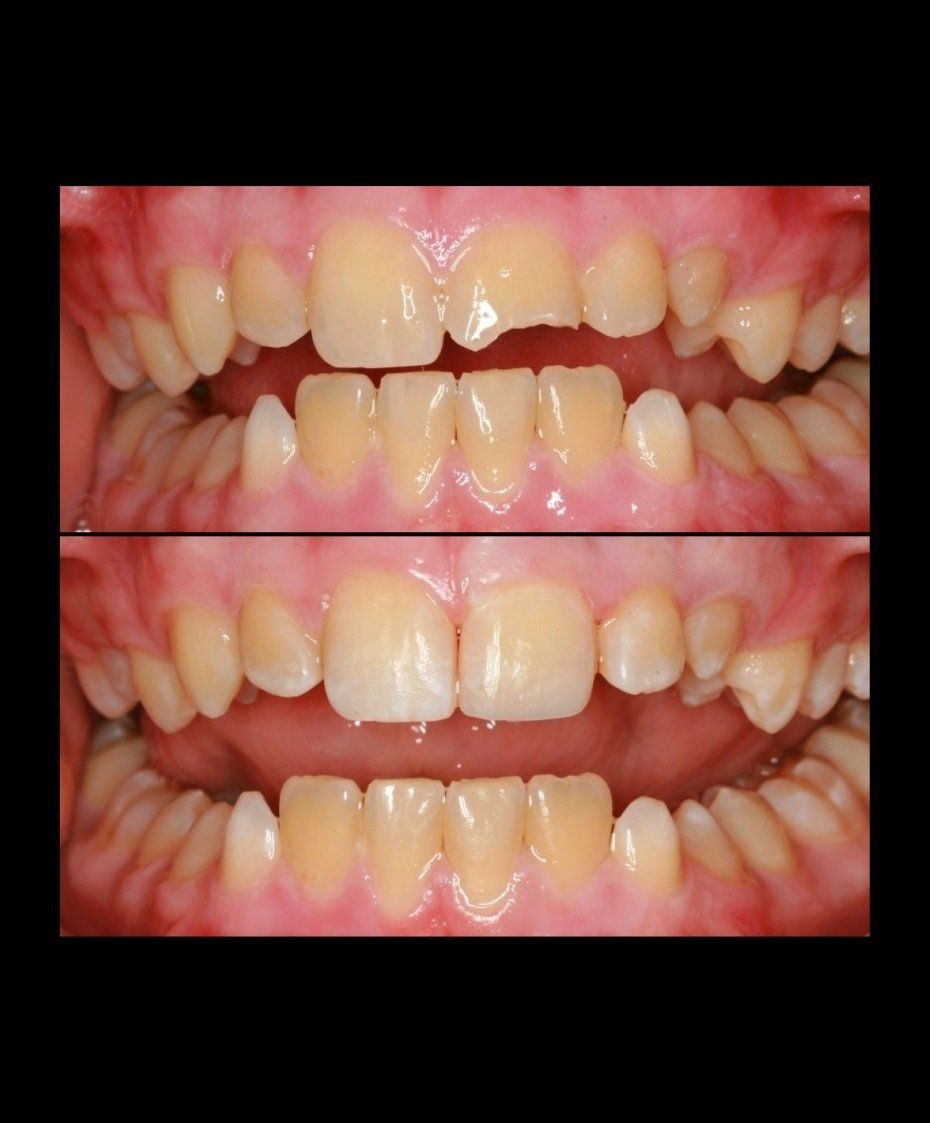
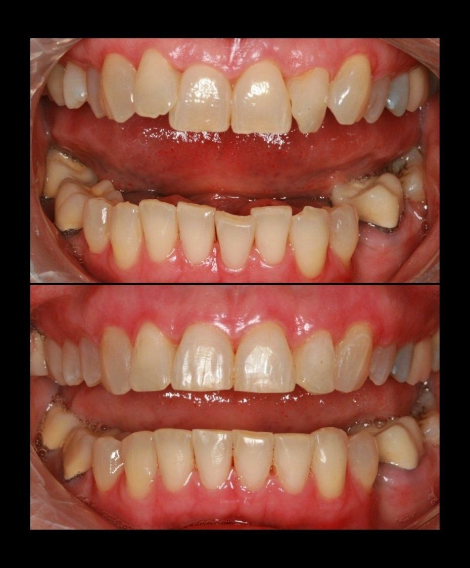
Cosmetic Dentistry Before and After Photos
Visit us today and see what great improvements we can make with your smile!
At Legacy Dental Arts in Eagle River, AK, we want you to be proud of your smile, and we have a variety of procedures to help obtain that goal. See some of our recent work below.












